Dynamic Distal Radius
External Fixators
Bullets


Concept



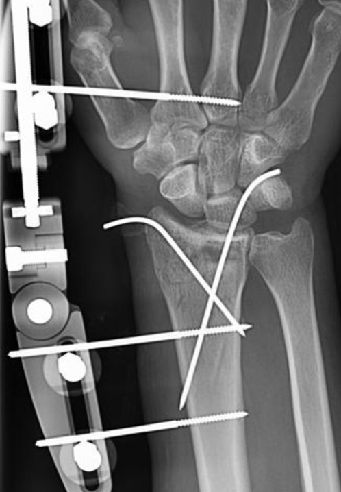
Distal radius fractures represent the most prevalent fracture type encountered in emergency settings. External fixation stands out as one of the optimal treatment modalities for managing distal radius fractures, particularly beneficial in cases involving articular or metaphyseal comminution.
Adjustment of the articular components of the external fixator is conducted in accordance with radiological parameters of the unaffected side.






